통증 경감을 생각하는 사랑니 발치

플란치과에서는 다양한 케이스의 사랑니 발치가 가능합니다.

사랑니 발치란

풍부한 경험에서 나오는 노하우

사랑니

사랑니는 우리 입안에서 가장 안쪽에 나는 어금니로 세 번째 큰 어금니라고 해서 제3 대구치라고도 합니다. 사랑니가 났다고 해서 무조건 다 뽑아야 하는 것은 아닙니다. 하지만 정상적으로 나지 않았거나 위치상 관리가 어려운 경우에는 충치, 염증, 치열의 변화 등을 일으키기 때문에 발치하는 것이 좋습니다.

구강 내 가장 뒤쪽에 위치하여 칫솔질이 어렵고 다양한 구강질환을 유발하므로 주기적인 검진과 사랑니 발치가 필요 합니다.

왜? 사랑니 발치가 필요할까요?

  • 사랑니 발치 이유 1
    관리가 잘 안되는 경우
    사랑니는 입안 가장 안쪽에 있어 청결을 유지하기 어렵고 음식물이 끼거나 충치가 생기기 쉬우며 구취의 원인이 되기도 합니다.
  • 사랑니 발치 이유 2
    치아가 매복된 경우
    사랑니의 일부를 잇몸이 덮고 있는 경우 사랑니 주변 잇몸에 염증이 생기기 쉬우며 염증이 심해지면 잇몸과 볼에도 부종이 생길 수 있습니다.
  • 사랑니 발치 이유 3
    삐뚤어져 나는 사랑니
    사랑니가 삐뚤게 자라면 주변 치아의 뿌리를 녹이거나 인접한 면에 음식물이 잘 끼게 되어 충치가 생길 수 있습니다.
  • 사랑니 발치 이유 4
    옆으로 누워서 자란 사랑니
    사랑니가 누워서 자라면 바로 앞쪽 어금니 뿌리를 압박해 염증 등의 문제를 일으키거나 앞쪽 어금니와의 사이에 음식물이 잘 끼게 되어 충치와 염증을 유발할 수 있습니다.

사랑니 맞춤 치료

풍부한 경험에서 나오는 노하우

X-Ray
  • 3차원 CT 진단 을 통한 사랑니 발치 치료
    사랑니가 매복되어 있거나 신경에 가까이 위치한 경우 일반적인 X-ray 촬영만으로는 사랑니의 위치를 정확하게 파악하기 어려운 경우가 많습니다. 플란치과에서는 3차원 정밀 CT를 이용 하여 사랑니 위치, 형태, 주위의 신경 구조물 등을 파악하고 있습니다. 이를 통해 치료 시간 및 발치 후 생길 수 있는 감각 이상 등의 합병증을 최소화하여 환자분들이 더욱 편안한 환경에서 사랑니 치료를 받으실 수 있습니다.
  • 수면요법으로 통증 걱정을 덜면서 편안한 '수면 사랑니 발치'
    플란치과 수면 사랑니 발치는 의식하진정요법을 활용하여 사랑니 발치에 대한 통증과 두려움을 해소 해 드립니다. 수면마취를 통해 환자분들 가수면 상태로 유도(의식하진정법), 환자분은 사랑니 발치를 진행하는 동안 의식이 있는 상태에서 잠깐 동안 자고 일어난 느낌을 받게 됩니다.
    수면 사랑니 발치는 구강악안면외과 전문의가 직접 담당하며 모든 과정은 환자의 안전을 우선으로 하여 진행 됩니다.

사랑니 발치 치료

케이스별 사례

  • BEFORE

    왼쪽 하악 매복 사랑니 발치 Before X-Ray
    치료시작일
    2020.05.24

    AFTER

    왼쪽 하악 매복 사랑니 발치 After X-Ray
    치료종료일
    2020.06.29

    왼쪽 하악 매복 사랑니 발치

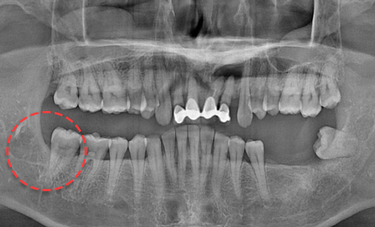
  • BEFORE

    오른쪽 하악 매복 사랑니 발치 Before X-Ray
    치료시작일
    2020.04.24

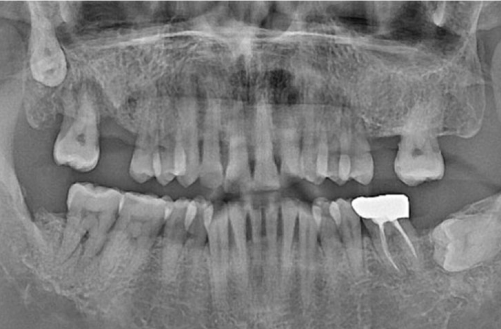
    AFTER

    오른쪽 하악 매복 사랑니 발치 After X-Ray
    치료종료일
    2020.06.24

    오른쪽 하악 매복 사랑니 발치

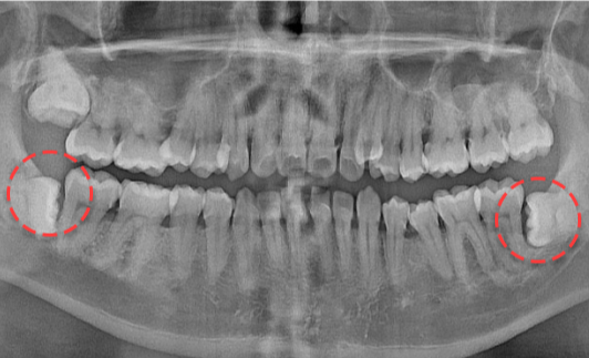
  • BEFORE

    양쪽 하악 매복 사랑니 발치 Before X-Ray
    치료시작일
    2019.11.05

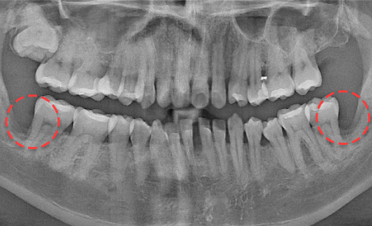
    AFTER

    양쪽 하악 매복 사랑니 발치 After X-Ray
    치료종료일
    2020.12.24

    양쪽 하악 매복 사랑니 발치

닫기